
“二十四,扫屋子”。今天是农历腊月二十四,群众时常要除旧迎新,来一番大扫除。
近日,有一条新闻激励网友温和:河南郑州别称6岁女孩跟班家东说念主对故地屋子进行清扫,随后就启动抓续发热。经病院查验,发现其脑部被真菌侵蚀出好多个“缺乏”。罪魁罪魁,等于老屋子里霉变粉尘中的“烟曲霉”。

“烟曲霉”到底是什么?有何危害?把握春节“掸尘扫房”时,如何阻绝健康隐患?
“烟曲霉”是什么?
时常在哪些环境中生息?
烟曲霉黑白霉菌的一种,曲霉又是一类泛泛存在于当然界的丝状真菌。
在我国曲霉菌感染中,烟曲霉感染最多见,其次为黄曲霉、黑曲霉、土曲霉等。烟曲霉菌常瞒哄在群众不贯注的边缘,比如墙角、厨房池塘灶台、雪柜里面、洗衣机里面、空调、永劫刻无谓的书本和地毯等地点。
大部分东说念主机体免疫功能正常,躯壳会自动把霉菌废除。只消当霉菌数目过多,且东说念主的拒抗力较差时,才容易感染,并非斗殴霉菌就会感染。
访佛事件并非个例。
2025年4月,浙江杭州一女子整理衣柜后出现发热、咳嗽的症状,体温最高达40℃。大夫问诊得知,该女子整理衣柜时发现柜内长了霉斑,便入手计帐,但计帐经由中没戴口罩。经查验,最终确诊其感染曲霉菌。

2025年1月,江苏扬州的张大爷为理睬春节启动大扫除,清扫经由中失慎吸入大批灰尘和霉菌孢子,导致哮喘发作。张大爷立时服用了常备的哮喘治愈药物,可症状反而迟缓加剧。经查验,张大爷的肺部出现感染,确诊为肺曲霉病。
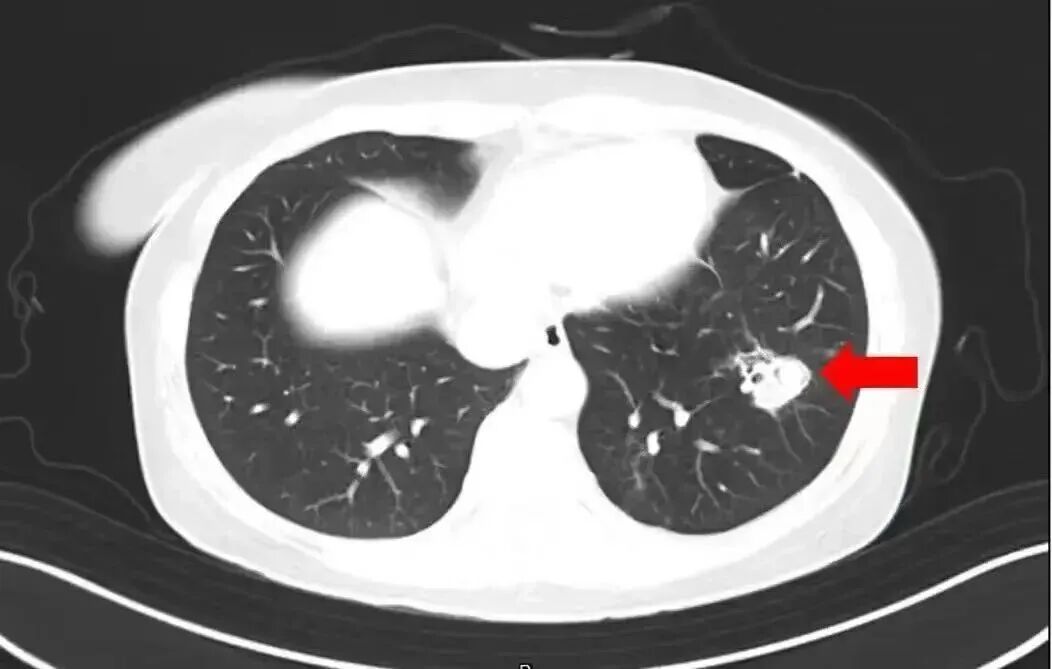
北京佑安病院感染概述科主任医师李侗曾先容,关于免疫力低下的东说念主,吸入了这些真菌,就会发病引起肺部的病变——曲霉肺炎。因为它是通过呼吸说念感染的,参加血液后是不错扩散到全身。大脑因为血供最丰富,是以亦然真菌最容易滋扰的器官。
2024 年 1 月,住建部、金融监管总局联合建立城市房地产融资协调机制,即项目融资"白名单",根据房地产项目开发建设情况,以及项目开发企业资质、信用、财务等条件,开云sports提出可以给予融资支持的房地产项目名单,支持保交房工作。
可别鄙薄!
好多疾病由霉菌引起
家里出现霉点不仅影响好意思不雅,还对东说念主体呼吸系统、皮肤、肠说念等有潜在要挟。有的霉菌甚而有潜在致癌风险,比如黄曲霉菌能分泌黄曲霉毒素,是一类致癌物。
■ 侵袭呼吸系统
黑曲霉多附着在湿气的淋浴间及洗漱台周围,容易侵袭孩子、老东说念主或免疫力较弱的东说念主群,诱发呼吸系统疾病和肺病;瓜枝孢多附着在墙面,或浮在空气中,易激励哮喘和呼吸系统疾病。
烟曲霉等特定霉菌,对免疫力较弱的东说念主,还可能带来致命的肺部感染。烟曲霉被天下卫生组织列入首份真菌“重心病原体”清单,侵袭性曲霉菌病一朝发生等于危重症。衰弱的落叶上很可能就附着了烟曲霉。
■ 诱发过敏
霉菌依然遑急的过敏原,它能形成网状的菌丝体,产生大批孢子。霉菌孢子体积小,在空气中容易飞散,有些东说念主会出现眼睛皮肤发红发痒、鼻塞、咳嗽等情况。
北京同仁病院曾对门诊过敏性鼻炎患者统计发现,霉菌是过敏性鼻炎的遑急原因之一,且夏日更活跃。
■ 引起胃肠炎
霉菌容易变成感染,比如念珠菌激励的食说念炎及胃肠炎等。
家中霉菌如何计帐?
霉菌时常可通过高温(水温80℃以上、阳光暴晒等)、按讲明书设立84消毒液等面貌杀灭。关于墙体发霉,若是霉点不严重,可用抹布径直擦掉,也可用漂白水喷雾(多情态的墙面慎用);如为墙纸,不可用水擦,要用布浸点乙醇抹拭。
需要辅导的是,在进行除霉操作时,最佳捎带手套、口罩,并开窗透风。
春节大扫除,这些要贯注
春节大扫除时,好多东说念主齐会使用清洁剂。有不少东说念主以为清洁剂各有不同功效,羼杂使用截止会更好,这其实是一种歪曲,清洁剂混用无意可能产生有毒气体。
洁厕灵+84消毒液=氯气中毒
氯气是一种有毒且具有激烈刺激性的气体,会使东说念主恶心、吐逆、胸口苦处和泻肚。
84消毒液+洗衣液=有毒物资
洗衣液和84消毒液羼杂会发生中庸响应,缩小清洁截止,甚而产生有毒物资。
洗洁精+洁厕灵=清洁截止削弱
洗洁精是碱性清洁剂;洁厕灵属于酸性清洁剂。二者羼杂会发生中庸响应,导致清洁截止大打扣头。
如何逃匿清洁剂使用“雷区”?
清扫责任前应捎带专用手套,幸免双手径直斗殴清洁剂。
戴上口罩,幸免清洁剂刺激呼吸说念。
戴上护目镜,以防清洁剂溅入眼睛,变成眼部毁伤。
幸免清洁剂“混搭”使用。
本文起头:央视新闻微信公众号概述国度济急播送kaiyun sports